CH STONECOAT KURENAI

2018 Lucky Hit Divakiz Kaya x BISS GCH Tribocie Puck

  • AKC Champion

  • AlphaDOG DNA HEALTH TESTED

  • OFA Hips: EXCELLENT

  • OFA Elbows: NORMAL

  • CHIC CERTIFIED

  • 30 inches tall

  • 120.3 pounds

Kurenai is a gorgeous light fawn bitch that we retained from the 2018 Kaya-Puck litter. She has a wonderful working temperament. She is very kind and loving to her goats and her humans. She is also very reasonable and achieved her AKC Championship quickly. She is the guardian of several Nigerian Dwarf goats and their babies. Kurenai has lovely conformation. Deep chest, good length of upper arm and layback of shoulder. She also has a great rear and broad thigh. A very balanced girl!

Kurenai pictured here at 5.5 years old, showing off her wonderful structure.

Kurenai shown here at 12 months old. Expertly handled by Susan Burrell

Kurenai shown here at 12 months old. Expertly handled by Susan Burrell

Kurenai loves to be near her stock. She is a gentle, but fierce, guardian.

IMG_3485.jpg

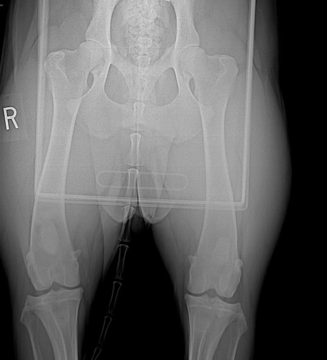
Kurenai’s hip xray at 35 months old. OFA Hips EXCELLENT and OFA Elbows NORMAL.